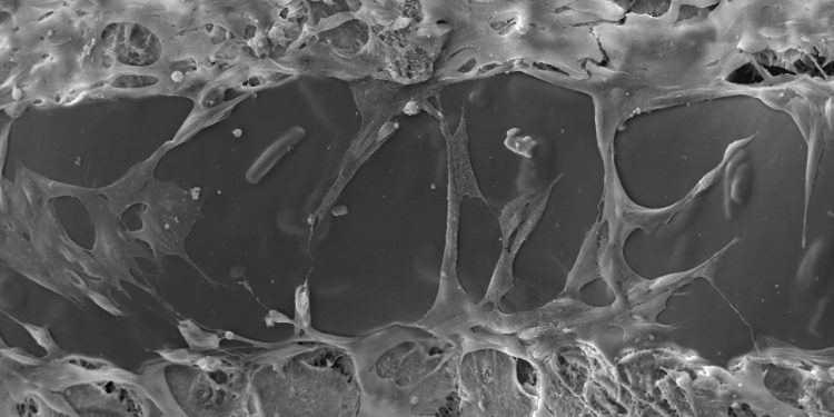
Лазерна обработка на биосъвместими полимери и керамика за използване при хирургични интервенции ще извършват учени от Института по електроника. Това съобщават от Българската академия на науките. Целта е да се създадат антибактериални повърхности, които ще спомогнат за по-бързото възстановяване на пациенти след операция. Обработените с лазер материали за импланти ще ускорят развитието на клетки и заздравяването на следоперативните рани.
Научните изследвания са в рамките на проект по програма „Мария Склодовска-Кюри“ за иновативни мрежи. Учени от 18 организации от цяла Европа се включват в мрежа за създаване на материали с антибактериални свойства, които да са подходящи за използване върху повърхности на ортопедични импланти. Новите покрития ще се прилагат върху импланти чрез добавъчни техники за производство. Ефикасността на тези антибактериални повърхности ще бъде подобрена чрез лазерна обработка на материала, от който са изработени. Предвижда се задълбочено проучване свойс-
твата на новите материали, за да се гарантира, че те са приложими за използване в импланти.
Очакванията са научните изследвания да спомогнат за предотвратяване на инфекции след хирургични интервенции, по-бързо възстановяване на пациентите и намаляване на следоперативните разходи за здравеопазване.
В рамките на проекта в Института по електроника се провежда международен конкурс за избор на двама докторанти. Млади учени от Италия, Русия, България, Колумбия, Индия, Пакистан и Иран вече са подали документи за участие в конкурса.
Уважаеми читатели, в. „Аз-буки“ и научните списания на издателството може да закупите от НИОН "Аз-буки":
Адрес: София 1113, бул. “Цариградско шосе” № 125, бл. 5
Телефон: 0700 18466
Е-mail: izdatelstvo.mon@azbuki.bg | azbuki@mon.bg





